ללא קטגוריה

בלוג השיניים שלנו מציג את כל החדשנות והאיכות שאתם מחפשים בטיפולי שיניים. אחריות, איכות וחדשנות הם הערכים המובילים שלנו. פנו אלינו לייעוץ וקביעת פגישות!

Visiting the American school in Even Yehuda

This summer Dr Preiss spent a few days visiting the American International school in Even Yehuda He taught children from age 6-16 about a wide range of dental...
קרא עוד על Visiting the American school in Even Yehuda

Rated best for service by whatclinic.com

The clinic has been awarded the patient service excellence ratings from healthcare search engine WhatClinic.com. WhatClinic looked at 12 months of data from users of its site, in...
קרא עוד על Rated best for service by whatclinic.com

Top 5 tips for healthy kids teeth

1. NO sugary drinks wherever possible. The main drink at home should only be water or milk. At night some children get thirsty during the night and have adrink...
קרא עוד על Top 5 tips for healthy kids teeth

Four common reasons for bad breath

Amongst the many reasons for the development of halitosis, there are four that are the most common. Xerostomia (the medical term for a dry mouth): This is the...
קרא עוד על Four common reasons for bad breath

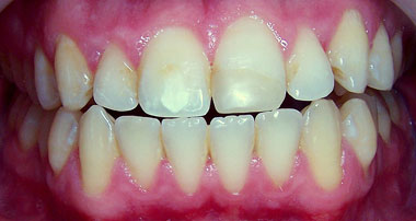
Symptoms of gum disease

Let’s first look at what a healthy set of gums should look like – pink and firm to keep teeth anchored in place. They should not bleed when...
קרא עוד על Symptoms of gum disease
טוען מאמרים נוספים...
Powered By Elektro

Ask DR. Preiss

Make an appointment

Fill in your information and we will get back to you

קבעו לי תור

מלאו את פרטיכם בטופס ונציגנו יחזרו אליכם בהקדם!